The use of artificial intelligence in medicine is growing rapidly

June 20, 2020 at 1:19PM
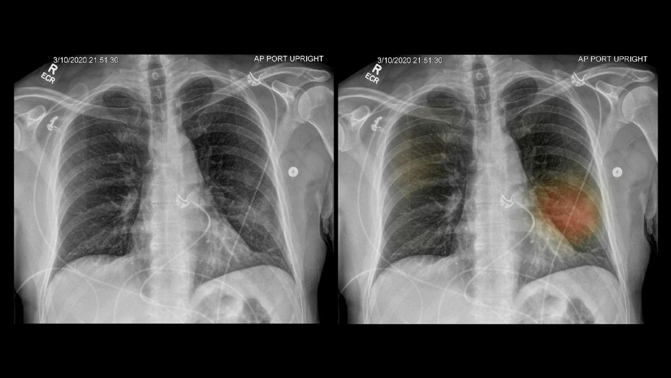
Two X-ray images show a patient's diseased lungs. Using an artificial intelligence program developed by UC San Diego Health system, the image on the right has been dotted with spots of color indicating where there may be lung damage or other signs of pneumonia. (Courtesy of Dr. Albert Hsiao/KHN/TNS)
Using an artificial-intelligence program, the image on the right has been dotted with spots of color indicating where there may be lung damage or other signs of pneumonia. (The Minnesota Star Tribune)

Everyday use of artificial intelligence for health diagnosis could still be years away, but the field is robust right now.

"We still have a lot of unknowns in terms of generalizing and validation of these systems before we can start using them as standard of care," Dr. Matthew Hanna, a pathologist at Memorial Sloan Kettering Cancer Center in New York City, told United Press International earlier this month.

On the one hand, this is not surprising: The history of artificial intelligence (AI) is a history of overcommitment and underdelivery in real-world "production" environments.

But on closer inspection, AI is highly useful in medicine as opposed to other domains and will rapidly increase in usage.

The UPI article highlights people's desire to see a human doctor and not trusting a machine's subtleties as a principal factor in their choosing a person rather than the AI.

Additionally, it points to the additional long-term testing needed before autonomous AI diagnostic systems can be widely installed.

Still, medicine was one of first domains for experimentation and success in AI, going back to the 1980s.

Diagnostic medicine is a relatively closed system that lends itself to successful rule-based or machine learning systems.

For machine intelligence, diagnosing an illness is a simpler exercise than say, navigating a car, where the inputs are far more subtle. As an example, for years AI researchers struggled to teach autonomous vehicles to distinguish between a pile of leaves and a hole in the ground.

AI will rapidly become common in medicine, but incrementally, from a process improvement standpoint.

We may be far away from having a robotic primary-care physician, but doctors, physician assistants and nurse practitioners will have AI embedded in their workflow soon.

The Food and Drug Administration has approved dozens of AI platforms, according to the UPI article. Some allow for health care providers to monitor patients remotely, identification of brain bleeding on a CT scan, recognition of abnormal heart rhythms based on Apple Watch recordings and help in diagnosing autism.

These tools are controlled by humans as opposed to automation. Experts in the UPI article said to "think of them as trusted assistants working behind the scenes, offering suggestions but not making decisions."

There is an old saying that artificial intelligence is the stuff we don't know how to do yet; if we know how to do it, its process optimization.

Isaac Cheifetz, a Twin Cities executive recruiter and strategic résumé consultant, can be reached through catalytic1.com.

about the writer

about the writer

Isaac Cheifetz

More from Business

See More
card image
Jeff Wheeler/The Minnesota Star Tribune

The Minnesota medtech giant plans to appeal the verdict. A California jury ruled that Medtronic’s bundling practices created unfair competition.

card image
card image