St. Bonifacius carpenter pierces heart with nail gun, survives

A worker accidentally shot himself in the heart with a nail gun, survived and was back home with his west metro family just a few days later.

October 1, 2013 at 2:57AM
icon0:29
(Matt Gillmer/Matt Gillmer)

A self-employed carpenter in the west metro beat long odds after accidentally shooting himself in the heart with a nail gun and was back home just a few days later to celebrate the birthday of one of his seven children.

"The surgeon said most people die right there," said Eugene Rakow, 58, of St. Bonifacius. "He said nine out of 10 won't make it."

Rakow was building a deck for a neighbor Friday when the 3 1/2-inch nail pierced his chest and came with 2 millimeters of a coronary artery, said Allina's Gloria O'Connell, a spokeswoman for Abbott Northwestern Hospital in Minneapolis, where he was treated.

The doctor who performed the surgery, Louis B. Louis, said, "This nail went through the front and the back of his heart, barely missing critical structures. I'm very pleased his post-operative courts has been so uncomplicated."

Following surgery to remove the nail, Rakow checked out of Abbott on Monday afternoon and looking forwarding to celebrating the 20th birthday of daughter Laura at the home where he lives with his wife, Carmen, and all the kids.

"I was leaning against a board with the gun," Rakow said. "I had the gun at an angle, chest level, and it jumped and I still had my hand on the trigger. It impaled the nail in my chest."

At first, Rakow recalled, the injury didn't hurt "that bad. Your body kind of goes into shock. … I could feel it gurgle a little, crunch a little. I knew it wasn't good."

Rakow ran to his truck and got his wife on the phone. She drove him to nearby Waconia Hospital, then he was transferred to Hennepin County Medical Center before ending up at Abbott that night and for the duration of his treatment. Now, he's out of work for several months as he recovers.

Following surgery, he was given the nail as a reminder of how close he came to missing Laura's birthday and many others in his family.

The doctor said Rakow "was extremely lucky, first that he was able to get to a hospital and second that the nail missed the coronary artery by about 2 millimeters twice — going in and going out," O'Connell said.

"The sternum also acted as a 2-by-4 and stopped the nail from going in deeper than it did," she added. "In the end, [the doctor] put two stitches in the heart."

Paul Walsh • 612-673-4482

Eugene Rakow, with his family after having a nail removed from his heart.
Eugene Rakow, with his family after having a nail removed from his heart. (Stan Schmidt — Provided by the Rakow family/The Minnesota Star Tribune)
Eugene Rakow lived to tell about this nail being shot into his heart.
Eugene Rakow lived to tell about this nail being shot into his heart. (Stan Schmidt — Provided by the Rakow family/The Minnesota Star Tribune)
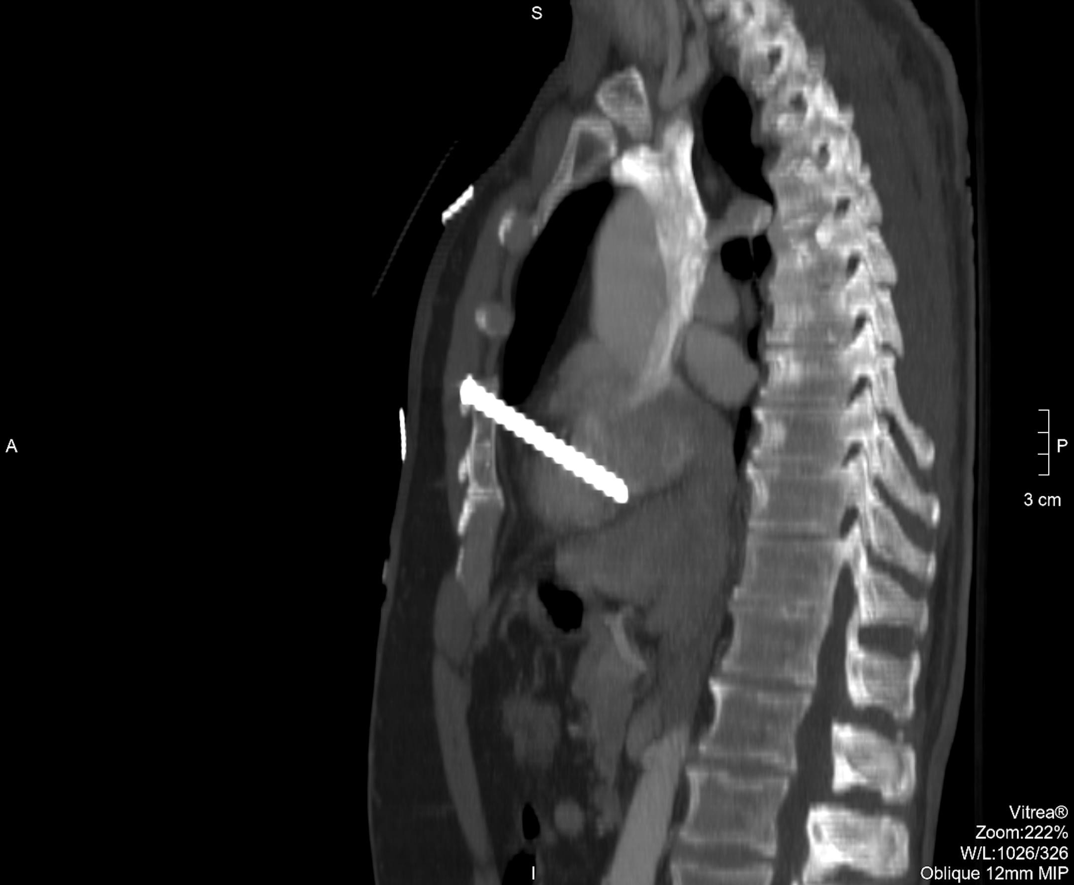
X-ray of nail in heart from Abbott Northwestern Hospital.
X-ray of nail in heart from Abbott Northwestern Hospital. (Stan Schmidt/The Minnesota Star Tribune)
about the writer

about the writer

Paul Walsh

Reporter

Paul Walsh is a general assignment reporter at the Minnesota Star Tribune. He wants your news tips, especially in and near Minnesota.

See Moreicon

More from No Section

See More
FILE -- A rent deposit slot at an apartment complex in Tucker, Ga., on July 21, 2020. As an eviction crisis has seemed increasingly likely this summer, everyone in the housing market has made the same plea to Washington: Send money — lots of it — that would keep renters in their homes and landlords afloat. (Melissa Golden/The New York Times) ORG XMIT: XNYT58
Melissa Golden/The New York Times

It’s too soon to tell how much the immigration crackdown is to blame.